VIEW 디지털 기공 연구소
청담뷰치과는 전세계적으로 인정받은 세라믹 재료와
기공장비를 갖춘 디지털 기공실과 세라미스트가 상주해 수준
높은 세라믹 보철물을 제작 합니다.
100%에 도전하는 진심의 전문가 미백

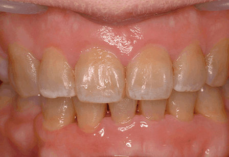
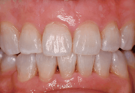
변색된 치아 표면의 색을 밝게 하는 것으로 칫솔질이나 스케일링으로 해결되지 않는 치아의 색을 원래의 색으로 회복시키거나 밝게 만들어 주는 치료입니다.
짧은 시간에 세심하고 균일하게 치아 미백을 할 수 있는 것이 장점입니다. 최선의 결과를 위해서는 치아 변색의 원인에 대한 전문적인 진단이 중요합니다.
자연 치아의 밝기는 총 16단계로 나뉩니다. 가장 어두운 레벨은 C4, 가장 밝은 레벨은 B1입니다.
평균적으로 20~30대의 자연치아 색상은 2단계(A2, B2, C2, D2)에 속하며 3단계(A3, B3, C3, D3)부터 어두운 편에 속합니다.
치아 변색의 원인은 외부적 요인, 내부적요인, 환경 및 유전적인 요인, 노화 현상에 의한 요인 등으로 나뉘며 크게 후천적 요인과 선천적 요인으로 구분됩니다.
내부적인 요인, 환경 및 유전적인 요인들로 발생한 변색은 다양한 특성을 띕니다. 이러한 개인적인 치아 상태에 따라 치아미백 반응속도와 밝아질 수 있는 한계점을 어느정도 가지고 있으나 치아미백을 통해 거의 모든 치아는 밝아질 수 있습니다.
치아의 표면인 법랑질은 유기물과 무기물, 수분으로 이뤄져 있는데 유기물 사이에는 미세한 많은 공간이 있어 오랜 기간 동안 이 공간으로 음식물 색소들이 들어가면 치아가 변색됩니다. 특히 커피, 와인 등을 자주 섭취하거나 흡연을 할 경우 치아 변색이 되기 쉽습니다.
후천적이고 외부적인 요인에 의한 변색은 비교적 미백 반응속도가 빠르고 미백 결과도 좋습니다. 후천적인 원인에 의한 치아변색은 비교적 미백반응이 빨라 치료 기간도 짧습니다.
유전으로 인한
선천적 요인
흡연으로 인한
니코틴 침착
커피, 색소로
인한 변색
장기간
약물 복용
구강위생
불량

선천적인 원인에 의한 변색이 있는 치아는 치아미백 기간과 횟수를 늘려야 합니다. 담배, 음식물의 색소로 인한 후천적인 변색인 경우는 치아 미백제에 대한 반응이 빨라 미백이 비교적 잘 되며 빠른 기간 내에 미백을 진행할 수 있습니다.

효과적인 치아미백을 위해 치아 진단과 스케일링을 진행합니다.
잇몸에 미백 약제가 닿지 않게 보호제를 도포합니다.
치아미백 약제를 치아의 표면에 도포합니다.
미백 광선을 조사하여 치아미백 시술을 진행합니다.






전문가 미백과 자가미백을 병행하면 효과가 더 커집니다.
미백시술 직후에는 치아가 예민해진 상태이므로 음식물 섭취는 최소 1시간 이후부터 가능합니다.
너무 뜨겁거나 차가운 음식은 자제하는 것이 바람직합니다.
치아 표면에 충분한 단백질이 생성될 때까지 최소 24시간은 색소가 진한 음식(커피, 카레, 육회 등)은 드시지 않는 것이 좋고 먹더라도 바로 양치질을 하거나 물로 입안을 헹궈내셔야 합니다.
발치한 날 과도한 운동이나 사우나처럼 몸에 열이나는 행동은 삼가주세요
청담뷰치과는 자체기공 연구소 운영으로 정밀한 보철물을 제작합니다.

청담뷰치과는 전세계적으로 인정받은 세라믹 재료와
기공장비를 갖춘 디지털 기공실과 세라미스트가 상주해 수준
높은 세라믹 보철물을 제작 합니다.
치과 치료에 대한 불안, 공포?
잠든 것처럼 편안한 상태에서의 치과 치료
수면치료를 통해 치료에 대한 심리적 부담을 줄여줍니다.
치과치료에대한
공포가 심한 환자
한번에 여러 개의 치아를
재치료해야하는 경우
당뇨, 고혈압이나 전신
질환이 있는 환자
오랜치료 시간을 감당하기
어려운 환자
수술과 복합적인 술식이
필요한 경우
구역질 때문에 치과치료를
힘들어 하는 환자
당신을 위한 새로운 치과 경험

20년을 한 곳에서.
무사고. 의료사고ZERO
청담뷰치과는 20년을 한 곳에서 묵묵히 진료하고
있습니다. 개원 이후 단 한 건의 의료사고 없이 환자의
안전을 최우선으로 하는 진료철학으로 단 하나의
오차도 허용하지 않는 섬세함으로 무사고 경력을
자신합니다. 지금까지 쌓아온 경험과 전문성을
바탕으로 신뢰할 수 있는 의료서비스를 제공하도록
더욱 노력하겠습니다.