VIEW 디지털 기공 연구소
청담뷰치과는 전세계적으로 인정받은 세라믹 재료와
기공장비를 갖춘 디지털 기공실과 세라미스트가 상주해 수준
높은 세라믹 보철물을 제작 합니다.
100%에 도전하는 진심의 치아성형

금속의 한계를 뛰어넘는 치아성형
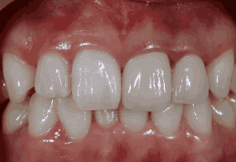
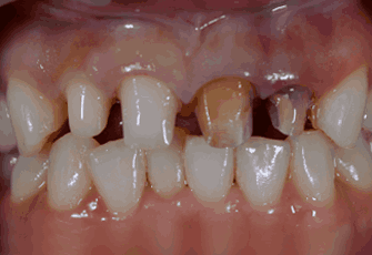
지르코니아는 세라믹의 강도 문제를 획기적으로 개선한 우수 세라믹 보철물입니다. CAD/CAM장비를 이용하여 지르코니아 블록을 밀링하여 사용하는 치아 성형방법으로 치아 전체를 씌우는 크라운과 브릿지를 제작하는 치료방법입니다.
현존하는 세라믹 중 가장 단단하고 자연스러운 지르코니아.
지르코니아는 인공 다이아몬드로 불릴 만큼 강도와 투명도가 좋은 신소재로 현존하는 세라믹 중 강도가 가장 높고 심미성이 뛰어납니다. 가공한 천연 세라믹을 열처리 후 치아에 씌워주는 도자기 형태의 보철물로 세라믹으로 제작되어 자연치아와 흡사해 심미성이뛰어나고 생체 친화적인 소재로 부식 및 염증 반응, 알러지 등의 부작용이 거의 없습니다.

자연치아와 유사한 우수한 심미성
올세라믹은 치아의 치료 부위가 넓어 라미네이트가 어려운 경우나 토끼이빨의 모양처럼 앞니가 크고 앞으로 튀어 나온 치아를 단기간에 정상적인 모양으로 치료하고 싶을 때 치아와 유사한 색상의 세라믹으로 치아를감싸는 시술입니다. 울세라믹은 기존 보철물과는 달리 치료 후 시간이 지나도 잇몸의 변색이 없으며 투명도가 높고 광택이 있어 뛰어난 심미성을 자랑합니다.





청담뷰치과는 자체기공 연구소 운영으로 정밀한 보철물을 제작합니다.

청담뷰치과는 전세계적으로 인정받은 세라믹 재료와
기공장비를 갖춘 디지털 기공실과 세라미스트가 상주해 수준
높은 세라믹 보철물을 제작 합니다.
치과 치료에 대한 불안, 공포?
잠든 것처럼 편안한 상태에서의 치과 치료
수면치료를 통해 치료에 대한 심리적 부담을 줄여줍니다.
치과치료에대한
공포가 심한 환자
한번에 여러 개의 치아를
재치료해야하는 경우
당뇨, 고혈압이나 전신
질환이 있는 환자
오랜치료 시간을 감당하기
어려운 환자
수술과 복합적인 술식이
필요한 경우
구역질 때문에 치과치료를
힘들어 하는 환자
당신을 위한 새로운 치과 경험

20년을 한 곳에서.
무사고. 의료사고ZERO
청담뷰치과는 20년을 한 곳에서 묵묵히 진료하고
있습니다. 개원 이후 단 한 건의 의료사고 없이 환자의
안전을 최우선으로 하는 진료철학으로 단 하나의
오차도 허용하지 않는 섬세함으로 무사고 경력을
자신합니다. 지금까지 쌓아온 경험과 전문성을
바탕으로 신뢰할 수 있는 의료서비스를 제공하도록
더욱 노력하겠습니다.