잇몸재생술/핀홀수술
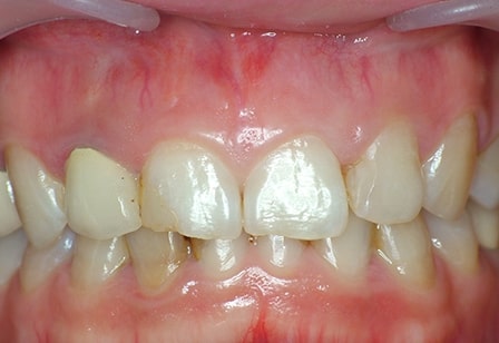
잇몸이 내려가 치아의 뿌리가 노출된 경우 잇몸조직을 입천장 부위나 인접 부위에서 채취하여 이식해 노출된 뿌리 부분을 덮어주는 방법
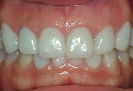
심미적인 치아의 3요소.
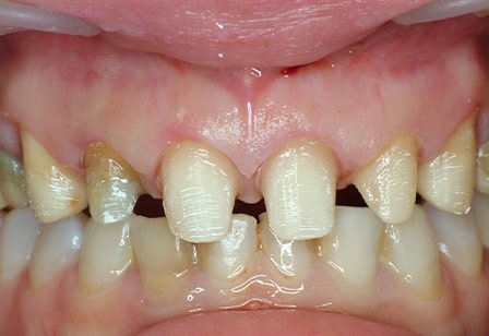
잇몸이 과도하게 길거나 잇몸라인이 고르지 못할 경우 원하는 미소를 찾지 못할 수 있습니다. 가지런한 치아에는 정성을
기울이지만, 대부분 잇몸에는 무관심한 경우가 많습니다. 잇몸성형을 통해 잇몸라인을 잡아주고 잇몸과 치아의
밸런스를 맞춰준다면 아름다운 미소라인을 만들 수 있습니다.


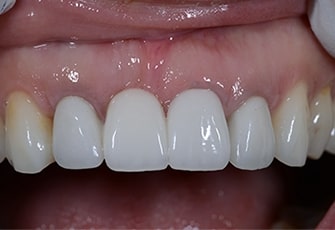
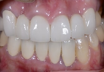
이상적인 잇몸은 밝은 선분홍색을 띄면서 웃을 때 윗 잇몸의 끝 부분이 살짝 보이게 됩니다. 이때 치아의 형태는 얼굴의 형태와 비례해야 조화롭게 보이는데 가로 보다는 세로의 길이가 길어보여야 보다 자연스러운 잇몸 라인을 만들 수 있습니다.
좌우대칭이 조화로운 형태
활짝 웃을 때 치아의 잇몸 부위가 살짝 보이는 형태
전체적인 앞니 치아의 크기와 형태가 자신의 얼굴 외형을 닮은 경우
웃을 때 위쪽의 입술라인과 앞니 치아들의 끝을 연결한 가상선이 동일한 흐름을 형성할 때

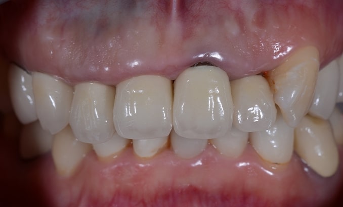
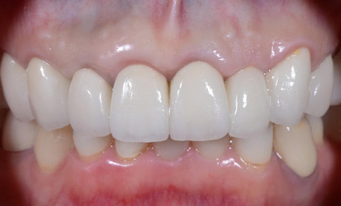
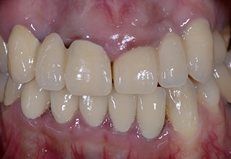
잇몸성형은 웃을 때 잇몸이 과도하게 노출되는 경우, 잇몸의 높이나 좌우대칭이 맞지 않아 조화로워 보이지 않는 경우 잇몸성형을 통해 치아의 길이를 균형감 있게 개선할 수 있습니다. 잇몸이 내려와 치아를 많이 덮고 있거나 잇몸이 얇거나 퇴축되어 치아 뿌리가 노출되면 치면의 부식이나 충치질환이 동반될 수 있어 잇몸성형을 통해 자연스러운 잇몸라인과 건강한 잇몸으로 회복시킬 수 있습니다.

잇몸이 내려가 치아의 뿌리가 노출된 경우 잇몸조직을 입천장 부위나 인접 부위에서 채취하여 이식해 노출된 뿌리 부분을 덮어주는 방법

비정상적으로 부어있는 잇몸이나 과하게 짧아보이는 치아, 비대칭적이고 심미적이지 못한 잇몸라인을 균형적인 형태로 다듬어 주는 방법
웃을 때 치아보다
잇몸이 많이
보이는 경우
멜라닌, 색소침착으로
잇몸 색소가
어두운 경우
잇몸이 붓거나
비대칭으로
보이는 경우

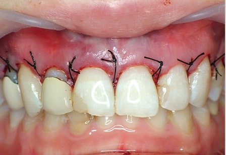
시술 후 2시간 이후 식사가 가능하며, 딱딱하거나 뜨거운 음식은 4일 정도 피해주세요.
잇몸을 들춰올려 수시로 확인하지 말아주세요. 잇몸이 끌려올라갈 수 있습니다.
입에 고이는 침을 뱉지말고 삼겨주세요.
칫솔질은 시술 다음날부터, 치간 칫솔은 3일 후부터 부드럽게 사용해 주세요
소독액은 시술 다음날부터 아침 저녁 2회만 입안에 머금고 계시다가 뱉어주세요
시술 후 일주일까지는 과도한 운동, 더운 물 목욕은 삼가주세요 (술담배 금물)











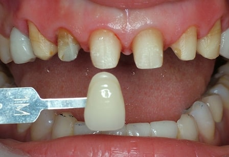
청담뷰치과는 자체기공 연구소 운영으로 정밀한 보철물을 제작합니다.

청담뷰치과는 전세계적으로 인정받은 세라믹 재료와
기공장비를 갖춘 디지털 기공실과 세라미스트가 상주해 수준
높은 세라믹 보철물을 제작 합니다.
치과 치료에 대한 불안, 공포?
잠든 것처럼 편안한 상태에서의 치과 치료
수면치료를 통해 치료에 대한 심리적 부담을 줄여줍니다.
치과치료에대한
공포가 심한 환자
한번에 여러 개의 치아를
재치료해야하는 경우
당뇨, 고혈압이나 전신
질환이 있는 환자
오랜치료 시간을 감당하기
어려운 환자
수술과 복합적인 술식이
필요한 경우
구역질 때문에 치과치료를
힘들어 하는 환자
당신을 위한 새로운 치과 경험

20년을 한 곳에서.
무사고. 의료사고ZERO
청담뷰치과는 20년을 한 곳에서 묵묵히 진료하고
있습니다. 개원 이후 단 한 건의 의료사고 없이 환자의
안전을 최우선으로 하는 진료철학으로 단 하나의
오차도 허용하지 않는 섬세함으로 무사고 경력을
자신합니다. 지금까지 쌓아온 경험과 전문성을
바탕으로 신뢰할 수 있는 의료서비스를 제공하도록
더욱 노력하겠습니다.