성인 70%이상이 앓고 있는 10대 질병.
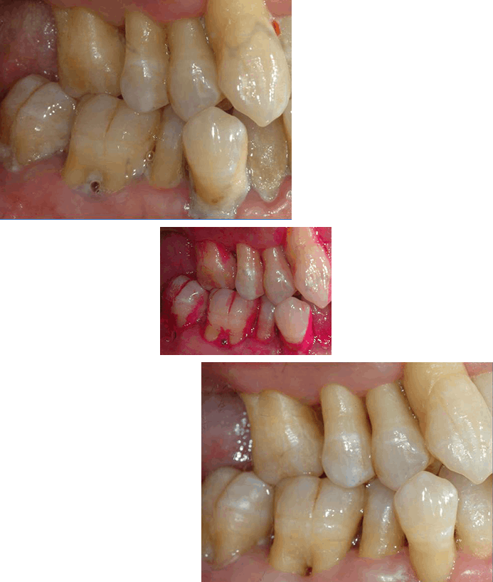
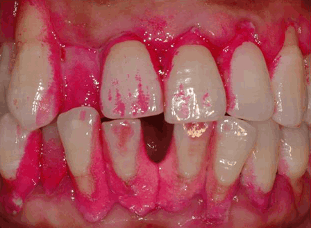
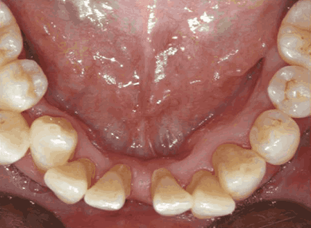
치주질환
치주질환은 치아 주위 조직에 염증이 생겨 잇몸과 치조골을 파괴하는 질환으로 쉽게 말해 잇몸뼈가 녹는 질환입니다. 치주 질환이 심해질 경우 치아를 받치는 힘이 약해져 치아가 흔들리거나 심한 경우 빠질 수도 있습니다.
치주질환은 아무리 완벽한 치료를 받더라도 잇몸뼈가 다시 자라거나 원 상태로 돌아가는 일은 매우 드뭅니다. 따라서 잇몸뼈가 녹기 전에 하루 빨리 치료를 받는 것이 좋으며 6개월에 한번씩 스케일링과 정기적인 검진을 통해 치과질환을 예방하고 건강한 치아를 유지하는 것이 중요합니다.

















