01. 진단자료 수집
교정을 상담하러 교정치과에 내원하시게 되면 치아와 얼굴에 대한 임상검사 및 문진을 시작합니다. 고객님의 정면, 측면 엑스레이 사진과 얼굴 및 치아사진을 촬영하고 포함한 치아석고 모형을 채득하게 됩니다.
당신의 스마일라인을 찾아주는 혁신 기술
치아교정은 얼굴모습과 치열 상태를 건강하면서 기능적으로 개선시키는 치료 방법입니다. 치아에 손상을 주지 않으면서 턱과 치아의 조화를 찾아주고 정상적인 기능을 하도록 함으로써 건강한구강과 아름다운 미소를 만들어주는 것입니다.

교정진단과 상담후 내게 맞는 교정장치와 방법을 선택할수 있습니다.
진단부터 다른 ‘청담뷰 디지털 교정’

다각도에서 200만 화소의 9개의 카메라가 0.5초 이내로
동시 촬영해 교정 진단을 위한 3D 안면 아바타 완성

얼굴뼈와 턱관절의 형태와 치아모양,
교합 상태 등을 입체적으로 파악하고 진단

3차원 첨단 구강 스캐너를 통해 치아와 잇몸을
정밀하게 재현하고 분석
레이페이스, 3D 시티, 구강스캐너로 촬영해 고품질 3차원 데이터로 재구성한 3D시뮬레이션으로
치료 전후 분석 및 안면 변화의 예측이 가능해 환자의 얼굴에 맞는 조화로운 치료 계획을 수립할 수 있습니다.

AI 정밀 교정진단은 물론 양악수술용 스플린트와
교정장치까지 정밀 제작이 가능한 콘빔CT 플랫폼

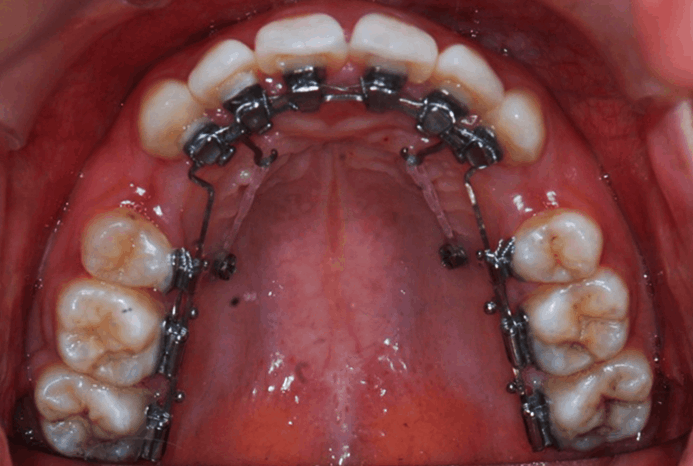
3D 프로그램을 통해 정확히 위치시킨 치아교정장치가
JIG를 통해 환자 치아에 똑같이 재현하는 디지털 교정방법

자주 내원하지 않고 아무도 모르게 교정치료를
받고 싶은 분들을 위한 디지털 투명교정

환자가 가지고 있는 본연의 교합과 해부학적인 특성을
고려하는 급속 교정치료방법
당신을 위한 새로운 치과 경험

20년을 한 곳에서.
무사고. 의료사고ZERO
청담뷰치과는 20년을 한 곳에서 묵묵히 진료하고
있습니다. 개원 이후 단 한 건의 의료사고 없이 환자의
안전을 최우선으로 하는 진료철학으로 단 하나의
오차도 허용하지 않는 섬세함으로 무사고 경력을
자신합니다. 지금까지 쌓아온 경험과 전문성을
바탕으로 신뢰할 수 있는 의료서비스를 제공하도록
더욱 노력하겠습니다.